Vielen Kindern könnte eine aufwändige und langwierige Behandlung erspart werden, wenn die Eltern mit ihrem Kind schon im Alter von 5 – 6 Jahren einen Kieferorthopäden aufsuchen würden. Früh erkannte Fehlstellungen der Zähne können bereits mit spielerischen Muskelübungen oder einfachen kieferorthopädischen Geräten behandelt werden.
Die Regel, dass eine Zahnspange erst eingesetzt werden kann, wenn alle Zähne da sind, ist völlig falsch.

Folgende Zahnstellungen sollten frühzeitig behandelt werden:

  • Vorzeitiger Verlust von Milchzähnen, vor allem von Seitenzähnen, führt zu einem Nachrutschen der bleibenden großen Backenzähne, die dann den später durchbrechenden Zähnen den Platz wegnehmen. In diesem Fall setzt der Kieferorthopäde einen sog. Lückenhalter ein, eine kleine lose Spange, die vorrangig nachts getragen werden sollte.
  • Durch eine Fehlfunktion der Zunge oder auch durch Daumenlutschen kann ein „offener Biss“ entstehen, d.h. die Schneidezähne klaffen vorne auseinander oder die Schneidezähne stehen zu weit vor. Dies kann zu Sprachstörungen führen oder die Atmung behindern, da der Mund nicht richtig geschlossen werden kann.
  • Beim Vorliegen eines „Kreuzbisses“- der Oberkiefer ist zu klein und/oder der Unterkiefer ist zu groß - kann es zu einer Hemmung des Wachstums des Oberkiefers kommen, der sich auch in das bleibende Gebiss überträgt.

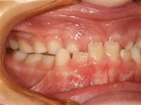
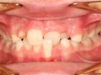
Eine typische Situation in der eine Behandlung auch schon mit 7 Jahren erforderlich ist.
 
Bei einem unteren Frontzahnvorbiss ist der Unterkiefer gegenüber dem Oberkiefer zu groß, sog. "Progenie". Um das Oberkieferwachtum günstig zu beeinflussen, sollte eine Behandlung frühzeitig erfolgen.


Die meisten Kinder bekommen ihre Zahnspange mit 9 – 11 Jahren. In dieser Zeit vollzieht sich der Zahnwechsel, was einer erfolgreichen Behandlung entgegenkommt. Außerdem ist es in diesem Alter dem Kieferorthopäden möglich, die Lage und das Wachstum der Kiefer zu beeinflussen.

Auch bei Erwachsenen ist die Korrektur von Zahnfehlstellungen möglich, eine Altersgrenze gibt es nicht. Oft wird der Kieferorthopäde hinzugezogen, wenn vom Zahnarzt die Eingliederung von Zahnersatz vorgesehen ist, aber eine optimale Versorgung auf Grund der Stellung der Zähne nicht möglich ist.