Am Anfang einer kieferorthopädischen Behandlung steht grundsätzlich eine eingehende Untersuchung des Patienten und eine ausführliche Beratung der Eltern, in der die Notwendigkeit einer Zahnspange, die Frage der Kosten und der Dauer der Behandlung besprochen wird. Außerdem werden von jedem Patienten Angaben zu allgemeinen Fragen der Gesundheit benötigt, wozu unsere Anamnesebögen dienen, die Sie hier herunterladen können.

Anamnesebogen Kind

Anamnesebogen Erwachsener


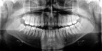
Das Orthopantomogramm ist eine Aufnahme beider Kiefer mit dessen Hilfe der Zustand der Zähne, der Verlauf des Zahndurchbruchs und die Lage der Zahnkeime im Kiefer beurteilt wird.

Die Fernröntgenseitenaufnahme dient der Analyse der Lage des Gebisses im Schädel. Die Auswertung wird in unserer Praxis mit Hilfe eines Computers vorgenommen.Die Fernröntgenseitenaufnahme dient der Analyse der Lage des Gebisses im Schädel. Die Auswertung wird in unserer Praxis mit Hilfe eines Computers vorgenommen.

Eine besondere Aufnahme ist das Röntgen der Handknochen zur Bestimmung des vorhandenen Wachstums des Patienten, da bestimmte kieferorthopädische Maßnahmen das Wachstum für den Erfolg erfordern (z.B. Korrektur der Unterkieferlage). Daneben ist es möglich, die spätere Körpergröße des Kindes zu berechnen.