Im Gegensatz zu den kieferorthopädischen Behandlungsmethoden mit abnehmbaren Apparaturen, ist die feste Spange auf die Zähne aufgeklebt. Dadurch wirkt sie ununterbrochen auf die Zähne ein – weitgehend unabhängig von der Mitarbeit des Patienten. Diese Wirkung erfolgt über das Schloss (Bracket) direkt auf den Zahn. So können Bewegungen ausgeführt werden, die mit abnehmbaren Spangen nicht möglich sind.
![]() | Köperliche Bewegung: Parallele Verschiebung von Zahnkrone und Wurzel |
![]() | Köperliche Bewegung eines Eckzahnes |
![]() | Wurzel-Bewegungen: Kippen der Zahnwurzel ohne die Position der Zahnkrone zu verändern |
![]() | Rotationen: Drehung des Zahnes um seine Längsachse |
![]() | Beeinflussung der Unterkieferlage durch Spannen von Gummizügen zwischen Ober- und Unterkiefer. |
![]() | Beeinflussung der Unterkieferlage durch Federn, die an der festsitzenden Apparatur im Mund befestigt werden. Wir verwenden dazu einen BioBiteCorrektor oder eine sog. Forsus-Feder. |
![]() | Erweiterung des Oberkiefers mit einer an den großen Backenzähnen verankerten Feder (sog. Quad-Helix). |
![]() | Hinter den Zähnen angeklebte Brackets sind nicht zu sehen, schränken aber die Zungenfunktion ein. Sie sind vor allem für Erwachsene geeignet, die die Behandlung möglichst unauffällig wünschen. |
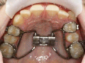
![]() | Zur schnellen Erweiterung des Oberkiefers eignet sich eine "Hyrax-Schraube", die fest an den Zähnen befestigt ist. |








